Medical Imaging

Medical image analysis
Our research is about medical image analysis in the field of moire topographic images and abdominal CT images.
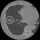
Automatic extraction of laesio part on lung CT images

We develop a Computer Aided Diagnosis(CAD) system which extracts laesio parts automatically.
Development of an automatic scoliosis detection system

Scoliosis is a serious disease often suffered by teenagers.
We propose a technique for automating human scoliosis detection by computer based on moire topographic images of human backs.
Automatic extraction of liver region from CT-images

We propose a method of automatic extraction of liver regions and its volumetric measurement by computer employing a set of abdominal CT images of a patient.
